-
Colombia, il Consiglio elettorale esclude Iván Cepeda dalle primarie della sinistra
-
Argentina-Usa, intesa sui minerali critici
-
Coppa Italia: Chivu, abbiamo sofferto un po' nel finale ma siamo contenti
-
Milano Cortina: slittino, Fischnaller subito veloce allo Sliding Centre
-
Ovs prevede di chiudere l'anno con ricavi in crescita a 1,74 miliardi
-
'Amministrazione Trump contro Nike per discriminazione dipendenti bianchi'
-
'Consigliere diplomatico di Macron ha incontrato Ushakov ieri a Mosca'
-
Mosca, 'le parti del New Start non più vincolate dagli obblighi dell'accordo'
-
Trump, 'Khamenei dovrebbe essere preoccupato ora'
-
On line i nuovi contributi 2026 per colf, badanti, baby sitter
-
Usa-Ue-Giappone annunciano partner strategica sui minerali critici
-
Media Israele, 'saltano i colloqui Usa-Iran, posizioni troppo distanti'
-
Ciclismo: Europei pista, due argenti per l'Italia dalle donne
-
Erdogan regala ad Al Sisi un'auto elettrica turca
-
Next Land e Stellantis, al via la Winter Camp
-
Se si dorme male in un letto nuovo, il segreto è in un gruppo di neuroni
-
Da Acquirente Unico bond per 600 milioni. Pichetto, operazione di rilievo
-
Rose Byrne, dalla corsa all'Oscar a una donna che vive in auto
-
Fondazione Barilla, parte Grand Tour del Libro del Risparmio, recuperabili 500 euro l'anno
-
Serie A: Doveri dirigerà Verona-Pisa, Guida per Juve-Lazio
-
Borsa: Milano chiude poco sotto i 47mila punti, sprint di Mediobanca
-
Mit, campagna di richiamo Takata, 'verifica se il tuo veicolo è coinvolto'
-
Industria e ricerca insieme per non perdere le opportunità quantistiche
-
Borsa: Europa contrastata in chiusura, Parigi +1,01%, Francoforte -0,72%
-
Una medaglia per il quarto posto, i bozzetti degli studenti dell'Ipzs
-
Confindustria punta sui giovani diplomatici, 'avvicinare imprese e diplomazia'
-
Xi a Trump, 'possiamo risolvere le questioni col rispetto reciproco'
-
Rubio, necessario includere missili balistici in negoziati con Iran
-
La casa di Marilyn Monroe, i proprietari fanno causa a Los Angeles
-
Stefano Bollani a Umbria jazz con All stars-tutta vita live
-
Love Me Love Me, il nuovo young adult e romance-triangle
-
Budapest condanna a 8 anni per violenza Maja T.
-
Calcio: Tonolini sulla giornata degli arbitri, "bene giallo a McKennie"
-
L'assemblea di Mps approva le modifiche allo statuto
-
Su Tmz le foto di Epstein morto in cella
-
Trump ritira 700 agenti federali dell'immigrazione da Minneapolis
-
Croce Rossa, 'salgono a 162 i morti dell'attacco in Nigeria'
-
Weekend al cinema, Shakespeare scalda il motore in vista dell'Oscar
-
Bonucci 'il bullismo neo della società che si manifesta in tanti modi'
-
Una nuova banca dati per il gemello europeo della Terra
-
Daniele Taddei nuovo Presidente dell'Unione Imprese Tecniche dell'Anica
-
Il tecnico sul mercato: 'Ho la rosa che volevo. Raspadori? Vediamo per la Coppa Italia'
-
Cargo russo al largo della Sardegna, la Nato monitora gli spostamenti
-
Borsa: Milano supera i 47mila punti, nuovo massimo da novembre 2000
-
Cgil, è crisi per l'industria, oltre 131mila lavoratori coinvolti in tavoli Mimit
-
Nella chirurgia maxillo-facciale esordisce il visore di realtà aumentata
-
Meryl Streep sarà Joni Mitchell in un nuovo biopic di Cameron Crowe
-
Ismea, Italia primo esportatore mondiale di mele superati Usa e Cina in valore
-
Napoli: Di Lorenzo infortunato si opera a un piede
-
'Un solo mare', dall'11 febbraio all'Auditorium Parco della Musica
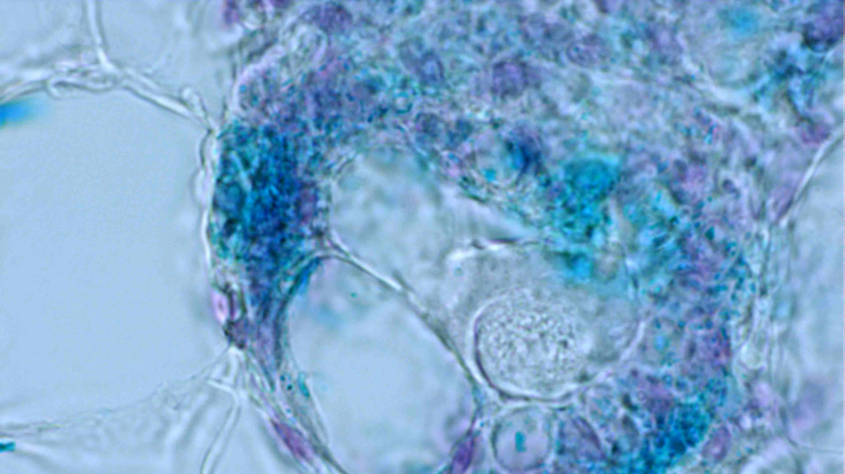
Tumore seno, farmaco aumenta sopravvivenza senza peggioramento
-62% rischio progressione o morte in pazienti con mutazione Esr1
Passi avanti nel trattamento del carcinoma mammario avanzato Er-positivo, che rappresenta circa il 70% dei casi di carcinoma mammario: i risultati dello studio di fase 3 'evEra Breast Cancer', presentati al Congresso dell'European Society for Medical Oncology (Esmo) in corso a Berlino, hanno dimostrato che la molecola giredestrant in combinazione con everolimus riduce significativamente il rischio di progressione di malattia o morte (sopravvivenza libera da progressione) del 44% nelle popolazioni intention-to-treat (Itt) e del 62% nelle pazienti con mutazione Esr1, rispetto alla terapia endocrina standard più everolimus. Lo studio valuta la combinazione di giredestrant nelle pazienti con carcinoma mammario localmente avanzato o metastatico positivo al recettore degli estrogeni, negativo al recettore del fattore di crescita epidermico umano di tipo 2, precedentemente trattate con un inibitore delle chinasi ciclina-dipendenti 4 e 6 e terapia endocrina. Si tratta del primo studio di fase 3 testa a testa che indaga un regime contenente un degradatore selettivo del recettore degli estrogeni rispetto a una combinazione standard di cura che ha mostrato un risultato positivo. I dati saranno condivisi con le autorità regolatorie, con l'obiettivo di rendere disponibile alle pazienti il prima possibile questa nuova opzione terapeutica. In questo tipo di carcinoma, la resistenza alle terapie endocrine, in particolare nel setting post-inibitore di Cdk4/6, aumenta il rischio di progressione di malattia ed è associata a scarsi risultati clinici. Le terapie di combinazione orali, come giredestrant più everolimus, agendo su due diverse vie di segnalazione, potrebbero migliorare i risultati di efficacia e, al contempo, ridurre l'impatto del trattamento sulla qualità di vita delle pazienti. "Il beneficio clinicamente significativo osservato con la combinazione orale di giredestrant più everolimus è un risultato molto incoraggiante e testimonia il suo potenziale impatto nel migliorare gli esiti in un profilo di pazienti che hanno un forte bisogno di nuove opzioni terapeutiche", spiega Erica L. Mayer, oncologa medica presso il Dana-Farber Cancer Institute di Boston.
U.Shaheen--SF-PST